professorsa

دكتور فواز القحطاني

استشاري زراعة وتجميل الأسنان

نبذه تعريفية

استشاري واستاذ دكتور في جامعة الأمير سطام بن عبد العزيز

البورد والزمالة الأمريكية في الاستعاضة السنية وزراعة الأسنان

رئيس برنامج زراعة الأسنان بجامعة رياض العلم سابقاً

رئيس لجنة الاختبارات للبورد السعودي للاستعاضة السنية

مؤسس عيادات ومعامل البروفيسور

عضو الهيئة السعودية للاستعاضة السنية

نموذج التواصل

للحجز والمواعيد مع أ.د فواز القحطاني

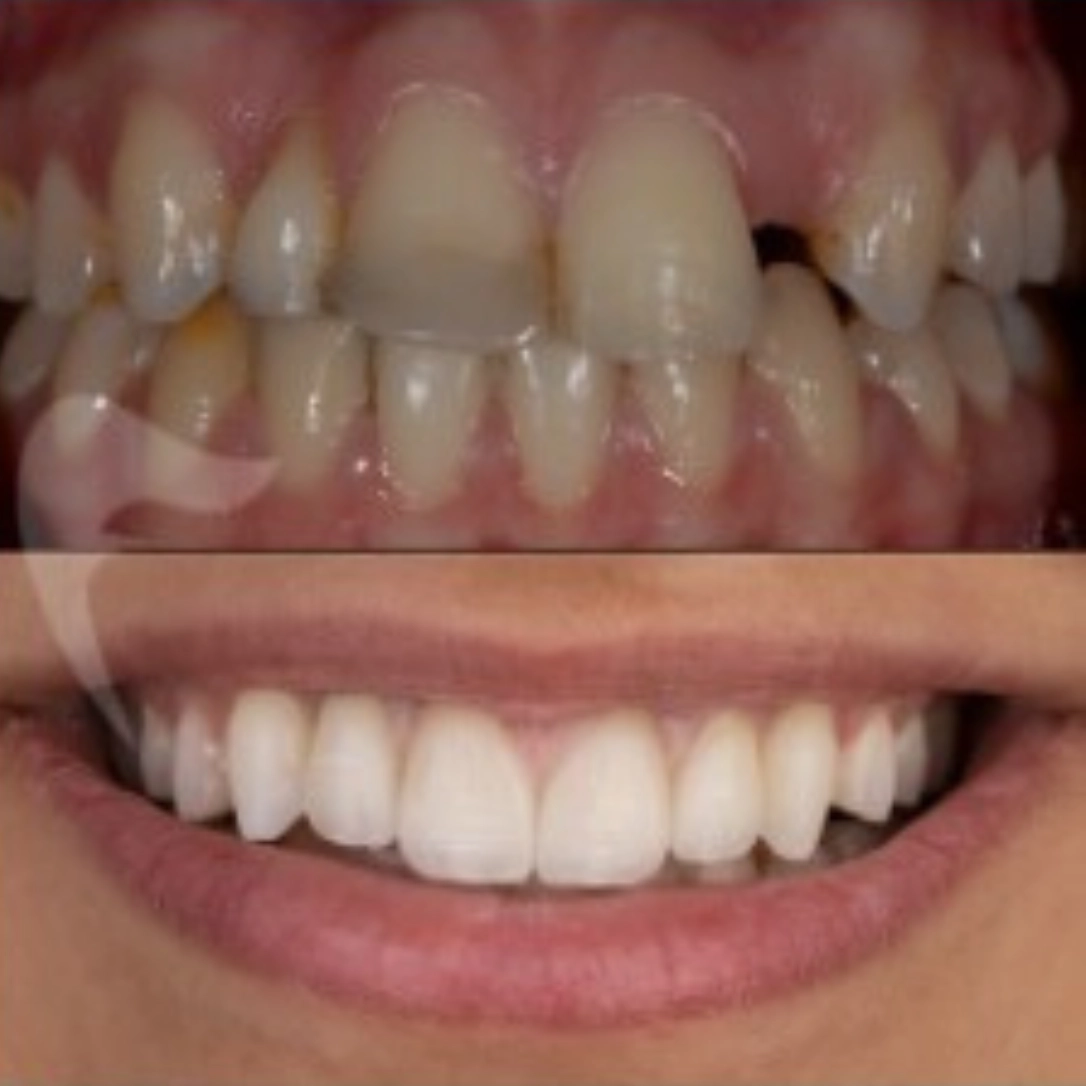
حالات البروفيسور فواز القحطاني

المؤهلات العلمية

بكالوريوس طب وجراحة الفم والأسنان جامعة الملك سعود مع مرتبة الشرف العليا

ماجستير علوم الأسنان السريرية جامعة نيوجيرسى للطب وطب الأسنان (الولايات المتحدة الأمريكية)

زمالة متقدمة فى زراعة الأسنان جامعة لوما ليندا، كاليفورنيا

زميل الكلية الأمريكية لتجميل الأسنان (FACP)

دبلومة البورد الآمر يكي في التركيبات السنية (DABP)

زميل الأكاديمية الأمريكية لزراعة الأسنان (AFAAID)

نموذج التواصل

للحجز والمواعيد مع أ.د فواز القحطاني

الانجازات العلمية

• نشر أكثر من ٥ بحثاً علمياً في مجلات علمية دولية.

• الإشراف على أكثر من 13 رسالة ماجستير في زراعة وتجميل الأسنان.

• محاضر ومتحدث في مؤتمرات عالمية في أمريكا وأوروبا والخليج.

• تطوير بروتوكولات متقدمة فى الزراعة الفورية والتصميم الرقمي للابتسامة.

• عضو اللجنة العلمية للبورد السعودي في الاستعاضة السنية.

الجوائز والتكريمات

جائزة التميز الأكاديمى من خادم الحرمين الشريفين الملك سلمان بن عبدالعزيز.

منحة أكاديمية كاملة من وزارة التعليم العالي للدراسة في الولايات المتحدة.

جائزة داوسون الأمريكية بالتعاون مع شركة 3M العالمية.

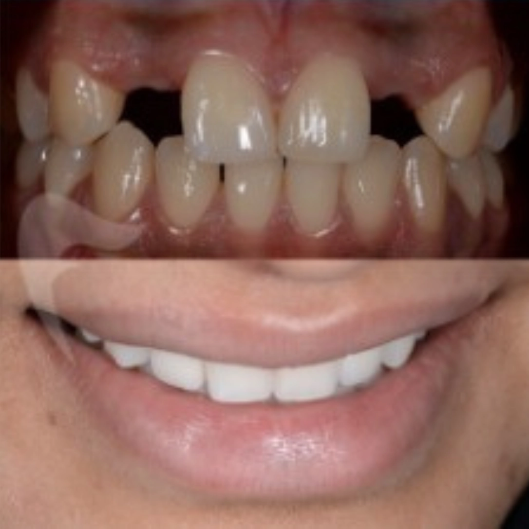
حالات البروفيسور فواز القحطاني

العضويات المهنية

• عضو في كبرى الجمعيات العالمية

• الكلية الأمريكية لتجميل الأسنان (ACP).

• الأكاديمية الأمريكية لزراعة الأسنان (AAID).

• الأكاديمية الأمريكية لتركيبات الوجه والفكين (AAMP).

• الأكاديمية الأوروبية لزراعة الأسنان (EAO).

• الجمعية السعودية لطب الأسنان (SDS).

في عيادات البروفيسور، لا نقدم مجرد خدمات طبية فقط بل نمنحك تجربة علاجية متكاملة بشكل احترافي وإليك آراء عملاؤنا

براءات الاختراع

حالات البروفيسور فواز القحطاني

نموذج التواصل

للحجز والمواعيد مع أ.د فواز القحطاني